歯並びだけじゃ、足りなかった
整えたのは歯だけじゃない。
笑顔と顔の印象
そのものだった!
矯正歯科GoSmile®横浜は 
「キレイになる」ための
専門の矯正歯科  

ただ「歯の並び」を整える
矯正歯科ではありません!
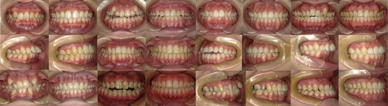
※1:掲載している治療例・症例写真・患者様の体験談は、医療広告ガイドラインに基づく限定解除要件を満たした上で掲載致します。→「詳しい症例はこちら」


魅力的なスマイルとキレイな口元に!
・歯科矯正治療・歯科審美治療専門  
・顎変形症治療専門外来併設(手術室完備)

2000年この横浜駅西口で矯正歯科専門医院を開院しました。これまで多くの患者様と優秀なスタッフに恵まれとても多くの患者様に喜ばれる治療を提供することが出来ました。この度、矯正歴30年以上の経験を生かしてもっともっと喜んで頂ける新しい形の矯正歯科をオープンしました。

矯正治療の分野も日進月歩、そして治療法も多岐にわたります。より専門的で質の高い治療ができる設備と人材を整えました。

矯正や歯科審美治療は、3D診断→3D治療目標→治療→方法が、大きく様変わりしたことにより「治療結果」も大きく改善しています。代表である矯正歯科医、矯正専門とする衛生士が最後まで治療を担当します。

外科手術を伴う矯正治療の場合には、口腔外科医、形成外科医(医師)、麻酔医(医師)、外科専門の看護師と我々矯正医が共に治療を担当致します。全身麻酔の設備のある手術室を完備し、様々なタイプの顎変形症の治療が可能です。
このような環境下にある矯正歯科医院は、国内でもまれな歯科医院です。神奈川県内では初めての医院、東京都内に1件あります。

すべてのスタッフが個々の分野の専門的な知識と経験を持つ専門家です。専門集団の医院で、安心出来る治療をご提供致します。

矯正治療について
従来の「歯を並べるだけの矯正」から一歩踏み込んだ、「顔全体の印象をデザインする治療」を行っています。

顔の骨格、筋肉、脂肪、皮膚まで含めた構造的アプローチで、より自然で美しい笑顔へ導きます。

「モテスマイル」、「スマイルデザイン」、顎変形症治療、歯科審美治療、を融合した次世代型の矯正治療で、あなたの「夢」と「キレイ」をお届けします。

More

審美歯科とは?

「モテスマイル」とは?

顔全体を構造(解剖学)からデザインする時代へ

顔の印象から変わる、新しい矯正治療
「モテスマイル」

矯正治療歴30年以上の専門医が開発した
「矯正」+「審美」+「表情」+「デザイン」を
組み合わせたトータル治療法

顔の印象が変わる瞬間!
あなた好みの素敵なスマイルになれる!

「解剖学から読み解く顔の悩みと
美しい顔へと導くアプローチ」


モテスマイル式 フェイスデザイン理論

顔の構造から治療と顔の印象を設計する、
これからの矯正・歯科審美治療とは?

あなたがキレイになるための最新の治療法です。

More


選ばれる理由は、実績と専門性
(安心して相談できる理由)
なぜ、12,000人以上が私たちの矯正治療を選んだのか?
”信頼される理由がここにあります。”

1.  圧倒的な治療実績と経験値
(症例数と担当医の信頼性)
・担当医は? ・治療ゴールは? 
・治療実績は? ・症例数は? 
・治療分野は?

2.  高度な専門資格と研鑽
(矯正治療を専門とする歯科医師)
・専門資格は? ・国内での研鑽実績は?

3.  海外での研鑽実績は?
(世界レベルの学びと技術力・グローバル視点の治療)

4. 「モテスマイル」経験と
失敗から生まれた治療哲学
(開発者のリアルなエピソード)
・顔のバランスがキレイになる矯正の治療目標って?

5.  顎変形症治療専門外来併設
(専門医同士のチーム体制)
・GoSmile 顎変形症治療チームって?
・「顔」専門の矯正歯科!
「手術をしない顎変形症治療」も
「手術併用の治療」も自由に選べる?

6.  2000年開院時より、厚生労働省認定
「顎口腔診断施設」
・「顎口腔診断施設」って?
More >>



GoSMILE®横浜 こだわりの基準

自分が通いたい?


治療技術だけではダメ!「患者さんが感じる小さなストレス」を徹底的に排除。
清潔さ・安心感・快適さ そのすべてを磨き上げ!
また行きたくなる歯科医院を目指しています。

「スリッパ」ひとつ、「水」の一滴まで
矯正歯科GoSMILE横浜は、清潔さと快適さに妥協しない歯科医院です。


1. 入口から違う、清潔の美学
 スリッパの使い回しは、致しません!

2. うがいの水も、安心と美味しさを!

 毎回一人ひとりに専用のミネラルウォーター

3. 一滴一滴が清潔
 水そのものにも、医療レベルの清潔を!
 すべての診療ユニットが精製水 Purified Water

4. 器具の滅菌は目に見えるレベルで

5. 匂い・音・光への配慮

6. 「待たせない」「詰め込まない」診療

7. 「先生だけが分かっている」診療はしません

More


医師紹介
私達はスマイルデザインDrです。

スマイルコンセプト 院長紹介

「機能的に優れているものは、美しい」「機能美」という言葉は、 人間にも当てはまります。

たとえば、一流アスリートの肉体は逞しく、しなやかで洗練された美しさを感じさせます。
これは機能を極限まで高めた結果、「美しい肉体」に到達したからです。

歯や歯並び、口元の美しさも「機能美」です。
誰もが笑顔に自身を持てるようにするための数々のお手伝いを致します。
口元に関するお悩みがあれば、ぜひ一度ご相談ください。

あなたの素敵なスマイルは、自分自身だけでなく、周りに人々もきっと幸せにすることでしょう!
矯正歯科GoSmile®横浜
Smile &Face Design Clinic

世界矯正歯科連盟認定医
日本矯正歯科学会認定医
喜地慶雅

世界矯正歯科連盟認定医
日本矯正歯科学会認定医
喜地直美
More
アクセス

Access

  • 矯正歯科GoSmile®横浜 
    〒221-0835 神奈川県横浜市神奈川区鶴屋町2-12-5         TREZO横浜301 横浜駅西口から徒歩3分 
    045-620-0703
    ご予約